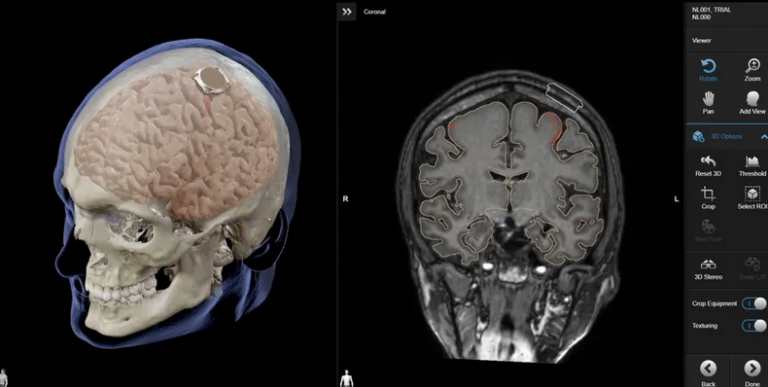
سيطلق على اسم الشريحة اسم تيليباثي تكنولوجيا و علوم إيلون ماسك يعلن عن نجاح زرع شريحة دماغية في أول إنسان by admin 30 يناير، 2024 written by admin 30 يناير، 2024 501 سكاي نيوز عربية / وكالات – أبوظبي قال إيلون ماسك مؤسس شركة نيورالينك إن أول مريض من البشر خضع لزراعة شريحة دماغية من التي تنتجها الشركة الناشئة يوم الأحد وإنه يتعافى بشكل جيد. وأضاف في منشور على منصة التواصل الاجتماعي (إكس) الاثنين “تظهر النتائج الأولية رصد زيادة الخلايا العصبية على نحو واعد”. ويصف المعهد الوطني للصحة الخلايا العصبية بأنها خلايا تستخدم الإشارات الكهربائية والكيميائية لإرسال المعلومات عبر الدماغ وإلى الجسم. وكانت إدارة الأغذية والعقاقير الأميركية قد منحت الشركة العام الماضي تصريحا لإجراء أول تجربة لها لاختبار زرع الشريحة في دماغ إنسان. وقال ماسك في منشور منفصل على (إكس) إن شريحة نيورالينك سيُطلق عليه اسم (تيليباثي). وأفادت نيورالينك على موقعها الإلكتروني بأن الشريحة تمكن الأشخاص المصابين بالشلل الرباعي من التحكم في الأجهزة بتفكيرهم. واجهت نيورالينك دعوات للتدقيق فيما يتعلق ببروتوكولات السلامة الخاصة بها. وذكرت رويترز هذا الشهر أن السلطات المعنية غرمت الشركة لانتهاكها قواعد وزارة النقل الأميركية فيما يتعلق بنقل المواد الخطرة. وقُدرت قيمة الشركة بنحو خمسة مليارات دولار في يونيو الماضي. وكان أربعة مشرعين طلبوا في أواخر نوفمبر من لجنة الأوراق المالية والبورصة الأميركية التحقيق فيما إذا كان ماسك قد ضلل المستثمرين بشأن سلامة تقنيتها بعد أن أظهرت السجلات البيطرية مشكلات في عمليات زرع الشريحة في أدمغة القرود منها الشلل وتورم الدماغ. المزيد عن: إيلون ماسك/نيورالينك كورب/شريحة نيورالينك/تيليباثي/شريحة دماغية/الخلايا العصبية/العصبونات 0 comment 0 FacebookTwitterPinterestEmail admin previous post الولايات المتحدة وإسرائيل تعتقدان أن 80٪ من أنفاق حماس لا تزال سليمة بعد 114 يوما من الحرب – تقرير next post جهاد الزين يكتب من بيروت عن: حين “تكتب” الراقصةُ التاريخَ، يرقص معها: You may also like احتيالات إلكترونية تؤرق الجزائريين ودعوات إلى “الحذر الرقمي” 18 مايو، 2026 مدرسة ماسك الغامضة: لا درجات ولا مناهج تقليدية 18 مايو، 2026 «غوغل»: متسللون يبتكرون أساليب اختراق باستخدام الذكاء الاصطناعي 12 مايو، 2026 هاتف «شاومي 17»: عصر جديد من التصوير السينمائي... 12 مايو، 2026 أدوات ذكاء اصطناعي «مخصَّصة» لمتابعة الأخبار 6 مايو، 2026 الزمن سيعود للوراء خلال 3 سنوات.. توقعات علمية... 1 مايو، 2026 “ميفن” سلاح واشنطن الذكي… يدير معركة إيران بالكامل 29 أبريل، 2026 الإنسان الرقمي… حاجة بشرية في فضاء التكنولوجيا 28 أبريل، 2026 هل سيسبح رجل “أبل” الجديد جون تيرنس عكس... 28 أبريل، 2026 مشروع علمي طموح يهدف لتحويل مياه القمر إلى... 26 أبريل، 2026