الإثنين, مايو 18, 2026
الإثنين, مايو 18, 2026
Home » داء السل الفتّاك يشهد تزايدا في الحالات داخل بريطانيا

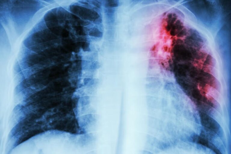
داء السل الفتّاك يشهد تزايدا في الحالات داخل بريطانيا

by admin

 

ارتفع عدد الحالات في المملكة المتحدة لتصل إلى نحو 5 آلاف حالة عام 2023

اندبندنت عربية / يولانثي فاويهينمي

قال علماء إن اختبار للدم قد يكشف عن ملايين الأشخاص الذين ينشرون داء السل من دون علمهم، ووفقاً لـ “منظمة الصحة العالمية” فإن أكثر من مليون شخص يفارقون الحياة سنوياً بسبب السل، مما يجعله أكثر الأمراض المعدية خطورة على مستوى العالم.

واكتشف باحثون في جامعة ساوثمبتون مجموعة من الدلالات الحيوية التي تكون مرتفعة بين المرضى المصابين بالأمراض المعدية، وقد يمثل هذا الاكتشاف خطوة فعالة مهمة لتقليل انتشار المرض.

وبحسب “وكالة الأمن الصحي في المملكة المتحدة” UK Health Security Agency، وعلى رغم تزايد حالات الإصابة بداء السل إلى نحو 5 آلاف حالة في عام 2023 في المملكة المتحدة، إلا أن معدل الإصابات لا يزال منخفضاً، ومن المتوقع استمرار ارتفاع هذه الأرقام خلال العام الحالي.

إذاً كيف يمكن أن يصاب الشخص بداء السل؟ وما الذي يجب معرفته عن هذه العدوى؟

ما هو داء السل؟

تعرف رئيسة المشورة الصحية في “جمعية الربو والرئة في المملكة المتحدة” Asthma + Lung UK، إيما روباخ مرض السل بأنه “عدوى بكتيرية تصيب عادة الرئتين”، وتقول “يمكن لأي شخص الإصابة بداء السل، ومع ذلك فإن الأشخاص الأكثر عرضة للخطر هم الذين عاشوا خارج المملكة المتحدة حيث تكون معدلات الإصابة بالسل مرتفعة، والدول التي يكون فيها السل أكثر انتشاراً تشمل هي بنغلاديش والصين والهند وباكستان وإندونيسيا”.

وتضيف، “تظهر الأعراض فقط عند خمسة إلى 10 في المئة من الأشخاص الذين يتعرضون لبكتيريا السل، ويمكن أن تظهر أعراض المرض خلال أسابيع أو أشهر أو حتى أعوام بعد التعرض للعدوى”.

وتشير إلى أن “هناك نوعين من مرض السل، “السل الكامن” حيث يكون لديك بكتيريا السل، لكن نظام المناعة في الجسم يسيطر عليها ويمنع نموها، مما يجعلك غير معرض لأي أعراض ولا تشكل خطراً على نقل العدوى للآخرين، وهناك “السل النشط” إذ يفشل نظام المناعة في الجسم في السيطرة على بكتيريا السل، مما يؤدي إلى تطور العدوى وظهور الأعراض”.

كيف يمكن أن يصاب الشخص بالسل؟

يقول العميد مشارك في البحوث وتبادل المعرفة في “جامعة وسط لانكشير” University of Central Lancashire الدكتور كولين ميتشي إن “معظم الإصابات بمرض السل تنتقل من طريق الهواء، ويمكن أن تصاب بها عندما تتعرض لسعال شخص آخر مصاب بالعدوى”.

ويضيف، “هناك نوع نادر من مرض السل يعرف باسم ’ميكروباكتيريوم بوفيس‘ Mycobacterium bovis ، والذي يوجد في الحليب غير المبستر، ولذلك قد يعرض تناول هذا المنتج لخطر الإصابة بالعدوى”.

ما هي أعراض داء السل؟ وما مدى خطورته؟

داء السل هو عدوى خطرة يمكن أن يكون قاتلاً إذا لم يعالج بشكل صحيح، ويشير ميتشي إلى أن “الشاعر كيتس والموسيقار شوبان والكاتبان برونتي وأورويل هم عينة صغيرة من الشخصيات التاريخية البارزة الذين فارقت الحياة بسبب داء السل”.

وتقول روباش، “قد يكون بعض الأشخاص أكثر عرضة لأعراض خطرة مثل أولئك الذين يعانون ضعف في جهاز المناعة وسوء التغذية ومرض السكري والمدخنين أو مدمني الكحول أو المخدرات، إضافة إلى الأطفال دون سن الخمس سنوات، وعادة ما يصيب مرض السل النشط الرئتين ولكنه قد يؤثر أيضاً في مناطق أخرى من الجسم”.

وتضيف، “تشمل الأعراض سعالاً يستمر لأكثر من ثلاثة أسابيع وآلاماً في الصدر وفقدان الوزن والتعب الشديد وفقدان الشهية وارتفاع في درجة الحرارة وانتفاخ الغدد الليمفاوية والصداع وآلام في الجسم”.

وتنصح جمعية الربو والرئة في المملكة المتحدة أيضاً الأشخاص بضرورة الاتصال بالرقم (999) أو مراجعة قسم الطوارئ في حال وجود أعراض مثل تيبس الرقبة وصداع حاد والحساسية من الأضواء الساطعة أو التعرض لنوبة صرع أو تغير السلوك، وعلى سبيل المثال الارتباك، وإذا كانوا غير قادرين على تحريك بعض أجزاء الجسم.

كيف يعالج داء السل؟

تقول روباش، “يجب علاج كل من مرض السل الكامن والنشط بالمضادات الحيوية للمساعدة في القضاء على البكتيريا، ففي حال الإصابة بالسل الكامن يستمر العلاج عادة لمدة تتراوح بين ثلاثة إلى ستة أشهر، وفي حال الإصابة بالسل النشط يجب أن يستمر العلاج لمدة لا تقل عن ستة أشهر”، مضيفة “في حال كان المرض يؤثر في الدماغ أو الحبل الشوكي فقد يتطلب العلاج فترة تصل إلى 12 شهراً”.

المزيد عن: داء السلأخبار بريطانياالقطاع الصحي البريطانيالأمراض المعدية

 

 

You may also like

Editor-in-Chief: Nabil El-bkaili

CANADAVOICE is a free website  officially registered in NS / Canada.

 We are talking about CANADA’S international relations and their repercussions on

peace in the world.

 We care about matters related to asylum ,  refugees , immigration and their role in the development of CANADA.

We care about the economic and Culture movement and living in CANADA and the economic activity and its development in NOVA  SCOTIA and all Canadian provinces.

 CANADA VOICE is THE VOICE OF CANADA to the world

Published By : 4381689 CANADA VOICE \ EPUBLISHING \ NEWS – MEDIA WEBSITE

Tegistry id 438173 NS-HALIFAX

 

هذا الموقع مجاني ولا يخضع لاية رسوم

This website is free and does not incur any fees

Email: nelbkaili@yahoo.com 

 

Editor-in-Chief : Nabil El-bkaili
-
00:00
00:00
Update Required Flash plugin
-
00:00
00:00