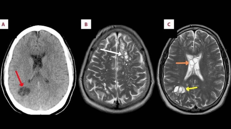
عمليات المسح كشفت وجود عدد من بيض الديدان الشريطية في دماغه (صورة نشرها الباحثون في المجلة الأميركية لتقارير الحالات الطبية) صحة العثور على بيض ديدان شريطية في دماغ رجل تناول لحم الخنزير المقدد by admin 14 مارس، 2024 written by admin 14 مارس، 2024 147 نيويورك: «الشرق الأوسط» عثر علماء على بيض ديدان شريطية في دماغ رجل أميركي كان يعاني من الصداع النصفي الشديد، وقالوا إنهم يعتقدون أن السبب في ذلك هو تناوله لحم الخنزير المقدد غير المطبوخ جيداً. وبحسب شبكة «سكاي نيوز» البريطانية، اشتكى الرجل البالغ من العمر 52 عاماً للأطباء من معاناته من صداع نصفي مستمر وشديد ولا يستجيب للأدوية. وكشفت عمليات المسح وجود عدد من بيض الديدان الشريطية في دماغه. وتم تشخيص إصابة الرجل بداء الكيسات المذنَّبة العصبي، وهو شكل من أشكال العدوى يحدث بسبب الديدان الشريطية التي توجد في لحم الخنزير غير المطبوخ جيداً. ويمكن أن تصل هذه العدوى إلى الأنسجة مثل العضلات والدماغ، وفقاً للباحثين الذين قالوا إن الرجل لم يسافر إلى أي مناطق مصنفة «شديدة الخطورة»، في ما يتعلق بهذه العدوى. وقال الفريق: «بعد مزيد من الاستجواب نفى المريض تناول طعام نيء أو طعام من الشارع لكنه اعترف بأنه اعتاد على تناول لحم الخنزير المقدد المطبوخ بشكل خفيف». وأشار الباحثون إلى أن أعراض الصداع النصفي تحسنت لدى الرجل بشكل ملحوظ عندما تم إعطاؤه أدوية مضادة للطفيليات والالتهابات. وأضافوا: «من غير المعتاد تماماً إصابة لحم خنزير بهذه العدوى في الولايات المتحدة، ومن ثم فإن حالة هذا الرجل تثير المخاوف بشأن احتمال وجود حالات أخرى مشابهة في البلاد». ووفقاً لمنظمة الصحة العالمية، يصيب داء الكيسات المذنَّبة العصبي في الغالب المجتمعات الزراعية الفقيرة، وهو السبب الرئيسي الذي يمكن تفاديه للإصابة بالصرع في العالم النامي. المزيد عن: الصحة صحة التغذية أميركا 0 comment 0 FacebookTwitterPinterestEmail admin previous post لأول مرة في العالم… اختبار علاج جيني لكبد بشري كامل ! next post حصيلة متواضعة لعام من التطبيع بين السعودية وإيران You may also like أعراض السرطان الصامتة: علامات خفية قد تكون قاتلة 28 أبريل، 2026 اختراق طبي: الذكاء الاصطناعي يكشف ألزهايمر بدقة غير... 11 مارس، 2026 طرق بسيطة لتخفيف أعراض التهاب المفاصل 11 مارس، 2026 سرطان الرئة الأكثر فتكا… والكشف المبكر ينقذ الآلاف 7 مارس، 2026 فتيات يقعن في فخ PPD مع موسم الحناء... 7 مارس، 2026 مفاجأة علاجية… عقار قديم يُظهِر فائدة جديدة للذاكرة 5 مارس، 2026 مسنون يقاومون الخرف: ما سر ذاكرتهم الخارقة؟ 4 مارس، 2026 تغييرات طفيفة في نمط الحياة تقلل من خطر... 26 فبراير، 2026 مارسه صباحاً ومساءً… نشاط يومي قد يبطئ السرطان 24 فبراير، 2026 (7 تغيرات) في الشخصية في منتصف العمر قد... 24 فبراير، 2026